अगर आपके दांतों पर काले या भूरे रंग के धब्बे दिखें, दांत में छोटा छेद महसूस हो, ठंडी-गरम चीजों से Sensitivity हो, मीठा खाने पर चुभन हो, हल्का या तेज दर्द हो, खाना दांतों में फंस जाए, सांस से बदबू आए या दांत कमजोर होकर टूटने लगे, तो ये संकेत हैं कि आपके दांत में कीड़ा लग गया है। दांतों से जुड़ी परेशानियों में यह सबसे आम समस्या है जिससे कई लोग पीड़ित रहते हैं।

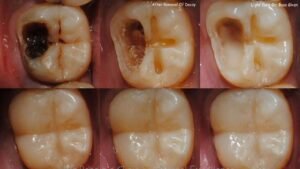
इस बारे में हमने खुल्बे डेंटल केयर एंड इम्प्लांट सेंटर की डेंटिस्ट डॉ. तेजस्वी भट्ट खुल्बे (गोल्ड मेडलिस्ट) से बात की। उन्होंने बताया कि दांत में कीड़ा लगना दरअसल बैक्टीरियल संक्रमण के कारण दांत में छेद (कैविटी) बनने की प्रक्रिया है। यह काला धब्बा छोटे से शुरू होकर दांत की नस तक पहुंच सकता है। यदि समय पर इलाज न कराया जाए तो इसके कारण तेज दर्द, संवेदनशीलता बढ़ना और दांत टूटने जैसी गंभीर समस्याएं हो सकती हैं।

खुल्बे डेंटल केयर एंड इम्प्लांट सेंटर की डेंटिस्ट डॉ. तेजस्वी भट्ट खुल्बे (गोल्ड मेडलिस्ट) ने बताया कि इस समस्या का मुख्य कारण दांतों की उचित सफाई का अभाव और खाने के बाद बची हुई गंदगी होती है, जो बैक्टीरिया को पनपने का मौका देती है, जिससे दांत सड़ने लगते हैं। इम्प्लांटोलॉजिस्ट डॉक्टर तेजस्वी भट्ट खुल्बे (गोल्ड मेडलिस्ट) बताती हैं कि कई लोग सोचते हैं कि ब्रश अक्सर करने, नमक-लौंग का तेल या हल्दी जैसे घरेलू नुस्खे लगाने, या बार-बार कुल्ला करने से कैविटी ठीक हो जाएगी, लेकिन यह धारणा गलत है।

कैविटी बनने के बाद कोई भी घरेलू उपाय इसे ठीक नहीं कर सकता क्योंकि यह अंदर से सड़ी हुई और संक्रमित होती है। इसे केवल डेंटिस्ट की मदद से ही सही तरीके से साफ किया जा सकता है। डॉक्टर एक खास उपकरण से दांत के सड़े हुए हिस्से और उसमें मौजूद बैक्टीरिया को पूरी तरह साफ करते हैं। इसके बाद दांत में बने छोटे छेद को कंपोज़िट मटेरियल से भर दिया जाता है, जिसे फिलिंग कहते हैं। फिलिंग करवाने से दांत मजबूत हो जाता है, कैविटी बढ़ना रुक जाता है, दर्द बंद हो जाता है और दांत फिर से सड़ने से बच जाता है।

खुल्बे डेंटल केयर एंड इम्प्लांट सेंटर
कुमाऊँ के पहाड़ी क्षेत्र का 40 वर्ष पुराना दांतो का अस्पताल
निकट अम्बेडकर पार्क, रानीखेत
(गाँधी चौक से नीचे, पुरानी आबकारी)
सभी प्रकार की दांतो की समस्याओं, टूथ इम्प्लांट, रुट कनाल ट्रीटमेंट आदि का भरोसेमंद इलाज
मोबाइल – 7409145343, 9675388080, 05966- 220519